What is a crown?
A crown is a dental restoration that helps to improve the appearance, strength and function of a tooth. A crown fits over a tooth that has been re-shaped by the dentist. It is a good way to rebuild a tooth that has been badly broken or weakened due to decay or a large filling. Sometimes known as a “cap” a crown does involve removal of some tooth structure.


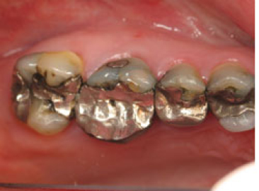
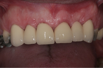
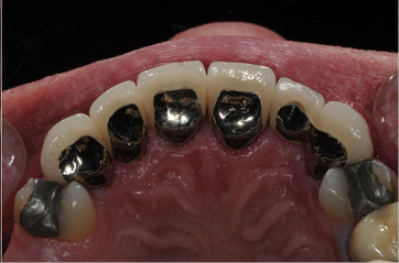
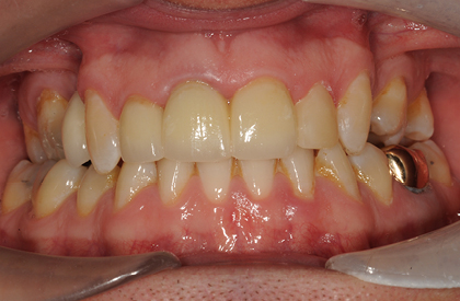
These are full crowns. Before shows old failing amalgam restorations.
Why do I need a crown?
There are a number of reasons including:
- The tooth may have been weakened due to a large filling or cavity
- You may have large, discoloured fillings in your front teeth and want to improve the appearance
- Tooth wear can reduce the size of a tooth
- A root filled tooth may have a large filling and be weakened
- More rarely, some inherited conditions of teeth can result in weak tooth structure or abnormally shaped teeth
Your dentist will be able to advise you as to whether a crown is a suitable treatment option for you.
What are crowns made of?
There are different materials, including:
- Tooth coloured porcelain with a metal lining, for strength and a good appearance


- Metal alloys (a mixture of gold/silver and other metals) where strength is needed and the tooth does not show in the smile

- Tooth coloured all – ceramic/porcelain, where the crown can be seen and the bite is not heavy

Your dentist will advise you on the best option as some designs require more tooth structure removal than others.
What is a post and why may I need one?
A post is a metal or fibre pin cemented into a tooth. Sometimes a post is used following root canal treatment, where the nerve inside the tooth has been removed, in order to rebuild a severely broken down tooth. Part of the root filling material is removed to make space for the post. The post is then cemented into place and a crown (cap) is subsequently made.

Sometimes a fibre post can be placed immediately and cemented in to the post space. A tooth shape can be built up on this with white filling material to act as a “core”. A permanent crown is then made to fit over this at a subsequent visit.
Is a crown suitable for me?
In some situations a crown may not be suitable. For example, in patients with:
- Poor oral hygiene
- High decay rates
- Active and extensive gum disease
- Clenching or grinding of the teeth
- Minimally restored teeth
- Young patients
How do I look after my crown?
Brushing twice daily with fluoride toothpaste, using floss/interdental brushes and limiting the amount of times sugar is consumed will help preserve your crown and your natural teeth. Regular check-ups with your dentist and hygienist will help maintain your oral health.
Are there any alternatives to crowns?
A crown may not always be the best option for your tooth. Teeth can sometimes be rebuilt using a white filling material that sticks to tooth enamel or a porcelain veneer may be an option for a front tooth where the bite is not heavy.
What is a Veneer?
Veneers usually involve removal of some tooth structure but not as much as for a crown. They are very thin and cover the front surface of the tooth only.

They are cemented in place with white filling material and can repair a broken tooth, cover a large filling or discoloured tooth and help to re-shape it.


What does the treatment involve?
Two visits are usually involved. For crowns and veneers the first appointment is spent re-shaping the tooth and then an impression (mould) of the tooth is taken and sent to the dental laboratory. The dentist makes a temporary crown to protect the tooth and cements it with a temporary cement before you leave.
Two weeks or so later the permanent crown is ready to be fitted. The temporary crown is easily removed and the permanent crown is cemented in place.
How long does a crown/veneer last?
If a crown or veneer is properly cared for it should normally last around 8 -10 years. However, this depends on:
- Having regular dental check ups
- Ensuring your tooth brushing/ flossing technique is optimum
- Maintaining a low sugar diet
Where can I find more information about crowns?
Your dentist will advise you as the best option is often one that preserves as much natural tooth as possible.
A helpful website is:
Web MD Dental Crowns