What is a hysterosalpingogram?
A hysterosalpingogram, HSG is an X-ray examination of the womb and Fallopian tubes. It aims to find out if there are any blockages in the tubes or other reasons why pregnancy might not be happening easily (polyps / fibroids).
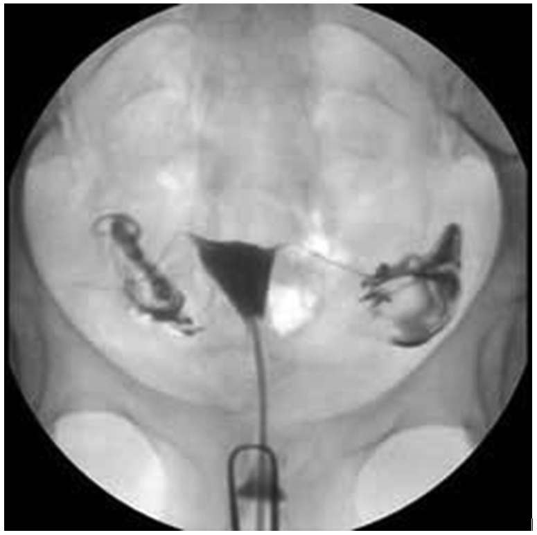
A liquid dye (iodine contrast) which is visible on an X-ray is gently pushed into the womb.

Several external pictures are taken to follow the flow of dye inside the womb cavity to outline it and along the tubes and as it spills out of the ends.

What are the benefits of HSG?
HSG is one of several ways available to assess the Fallopian tubes and womb in women trying to conceive. The alternatives are HyCoSy
(hysterosalpingo-contrast-salpingography) which is a similar ultrasound technique and Laparoscopy which is a general anaesthetic key-hole surgical procedure.
The advantages of HSG are that it does not require an anaesthetic or a stay in hospital. It is generally well-tolerated and is quite accurate in its ability to detect problems if they exist, and rule out problems if there are none.
What are the disadvantages / risks of HSG?
Test failure
The HSG procedure requires a fine tube (catheter) to be passed through the neck of the womb (cervix) and held there with a small inflatable balloon whilst the dye is injected. Sometimes the cervix is too tight to allow the catheter to get through and sometimes the balloon does not make a good seal. In this case, the dye tends to flow more backwards down the vagina than up towards the tubes. The test is then incomplete and invalid. An alternative method (laparoscopy) will need to be considered.
Uncertain test result
Sometimes the dye stops at the ‘shoulders’ of the womb cavity, just where the tubes enter the muscle layer of the womb. This can be due to a temporary spasm of the muscle or due to genuine blockage on both sides. If the tubes do not show any sign of relaxing over a few minutes, the procedure is abandoned and a laparoscopy will need to be considered.
Occasionally the test may confirm that the dye is flowing out of both tubes but not as freely as it should (clumping). This suggests that there may be scarring around the end of the tube(s) preventing them from working completely normally. A laparoscopy may be suggested to explore this further. Sometimes scarring can be treated surgically and at the same time.
Discomfort / pain
When the dye is injected there can be some period-like cramping pain. We recommend that you take some pain killers beforehand to reduce the risk of unpleasant discomfort.
Infection
Any procedure that puts things inside the body has some risk of infection. The main risk with HSG lies in any infection that could be present in the canal of the cervix (often without symptoms) being pushed up into the womb itself. This is not good and neither is it helpful if infection reaches the fallopian tubes where it could cause irreversible damage. The main infections are chlamydia and gonorrhoea. Leeds Centre for Reproductive Medicine policy is to ask your GP to screen you (and your partner) for these infections before you are referred for your first consultation. Any positive result can then be treated with the right antibiotics, and confirmed to have been cleared, before the HSG catheter is inserted. If you think you have not been tested, you should see your GPs for testing before the HSG test is done. As a last resort, the x-ray department will prescribe preventative antibiotics. These are best avoided unless you do not know that you have definitely tested negative recently for chlamydia and gonorrhoea.
Allergic reaction to the dye
This is very rare. Please tell the radiographer / radiologist if you have ever has an allergic reaction to iodine contrast before. If you do react to it, the team will stop the test immediately and give you appropriate treatment.
Radiation exposure
X-rays are a type of radiation. A small amount of radiation is used for a hysterosalpingogram. Everybody is exposed to small amounts of natural background radiation from the soil, food and air we breathe. The team will make sure the smallest amounts of X-rays are used. The benefits of performing the HSG outweigh the small radiation risk.
How to book in for HSG testing
It is important that you are not pregnant (only just pregnant) when this test is done. The best way to be sure of this is to have the test done as soon as your period has finished and before ovulation is expected i.e. between days 6-12 of your cycle.
The test is done in the X-ray and Ultrasound Department, B Floor, Clarendon Wing, the General Infirmary at Leeds.
If you require an interpreter this will be arranged for you at the time of booking.
If you have been given Provera or the contraceptive pill in order to regulate your cycle please contact the X-ray department prior to starting this treatment. You will then be advised when to begin your medication in order to avoid unnecessary delays in making an appointment.
On the day of your appointment
You are advised to take a pain-killer 30-60 mins before your appointment time. If you do not have any allergies to the following, please take any ONE of:
- 400mg Ibuprofen tablets OR
- 1g (2 x 500mg) paracetamol tablets OR
- 2 x Co-codamol 8/500 strength tablets
What you should expect
On arrival in the department, you will be taken to a changing cubicle and asked to undress and put on a gown and dressing gown (you may prefer to bring your own dressing gown). You will be asked for a sample of urine as a pregnancy test will be performed before the test as X -rays can harm an early pregnancy.
A nurse or radiographer will take you into the X-ray room and they will give you an explanation of the procedure and answer any questions that you might have.
You will be asked to lie on the X-ray table and a sterile sheet will be placed over you. The doctor (radiographer) will insert a speculum into the vagina (similar to a smear) and will clean your cervix with some sterile cleaning solution.

A thin tube is then inserted into the cervix (neck of the womb) and a colourless X-ray dye is injected to show the uterus and tubes A period type pain may be felt at this point, but should soon settle as the dye begins to leak out.
The examination usually takes about 15 – 20 minutes but you should expect to be in the department for about an hour.
After the examination
The examination may cause some pain and minor bleeding. The nurse or radiographer will check you have no significant discomfort or serious bleeding before you leave the department. You will be advised to use a sanitary towel (not tampon) until the bleeding has settled and pain killers as necessary. Please bring your preferred brand with you.
You may experience some minor bleeding the first day after the examination. Mild discomfort is also common, however if you experience excessive pain, a discharge or a high temperature these can be signs of an infection and you should seek urgent advice from your GP about antibiotic cover.
The report of the examination will be sent to the Doctor who requested the test and you will receive an outpatient clinic appointment to discuss it along with all your other tests within six weeks.
If you have been advised to have a pelvic ultrasound examination as well as the HSG, it may be possible to perform this on the same day as your HSG. Whilst every effort will be made to perform this on the same day sometimes this will not be possible. An appointment will be arranged for you at a convenient time.