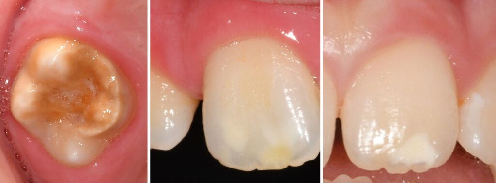
Molar-incisor hypomineralisation (MIH)

Information for patients and parents/guardians