This booklet has been written to tell you about Prostate Brachytherapy using Iodine-125 seeds.
It may be helpful to take this booklet with you if you are visiting your GP, or other healthcare professionals, with any problems you may be having because of your prostate treatment.
Each person’s treatment will vary, so the information given is a general guide. The healthcare team looking after you will explain your treatment and the side-effects in detail. If you have any questions after reading this leaflet, please speak to the team looking after you or ring the numbers at the end of leaflet. Staff will make every effort to meet your individual needs or will direct you to the person who can help.

Radioactive Seed Implants (Brachytherapy)
This procedure involves implanting radioactive Iodine-125 seeds directly into the prostate gland. The seeds continuously give off low level radiation for about one year. Each seed is 5mm in length and 0.5mm thick. The seeds are held together in a strand for implanting as can be seen here in the illustration.

What does Prostate Brachytherapy involve?
There are two important steps to prostate brachytherapy.
The first step, called a volume study, builds a picture of your prostate gland which is used to work out where the seeds need to be placed. The second step is to implant the seeds. These steps may be done at the same time or separated by two to four weeks. You will have a general anaesthetic for both steps.

Iodine-125 seeds produce radiation for about one year. After the radiation is finished, the seeds remain in the prostate gland, causing no problems.
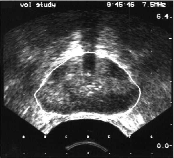
The Volume Study
For the volume study a transrectal ultrasound probe is inserted into the rectum, and several images are taken of your prostate gland. These images provide a 3D model of your prostate gland. This model is used to decide how many Iodine-125 seeds are needed to treat you and exactly where they should be placed.

You will be given an enema on the morning of the prostate volume study. For your enema a thin tube is passed through your anus to place a small amount of liquid into your rectum. This washes out the bowel and is essential for clear imaging of your prostate gland.
If your prostate gland is too large to implant (more than 50 cubic centimetres), you may need to have hormone therapy for 3-6 months. This aims to reduce the size of the gland. A repeat prostate volume study is done after about three months to check if the gland has shrunk enough for it to be implanted.
The Prostate Implant
The procedure is done as a day case on the Brachytherapy/Rutherford Suite, Level -1, Bexley Wing. You will be admitted on the morning of the procedure. You will be able to go home later the same day when you have recovered from the anaesthetic and are passing urine freely.
As described on page 4 you will have an enema on the morning of your implant. You will also be given an oral antibiotic to reduce the risk of infection. The implant is done in the operating theatre under general anaesthetic and usually takes about 1-2 hours.

An ultrasound probe is inserted into the rectum to guide the procedure.
The seeds are loaded into special needles. These are then implanted into your prostate gland through perineal area (the skin between your scrotum and anus).
If you live a distance from Leeds you may wish to stay in the hospital hotel the night before, subject to availability. (See page 23 of this leaflet).
Please note that you should not drive or operate heavy machinery in the 24 hours after your implant.
If you have other health problems or live more than 30 minutes drive from your local hospital you may be admitted the day before the implant and stay in hospital the night after the procedure (up to a two night hospital stay).
After the Implant
While in the recovery room you will have an ice bag placed between your legs. This helps to reduce swelling over the implant area.
You will be given Tamsulosin MR (Flomax®) before you go home. This tablet (alpha blocker) relaxes the smooth muscle of the urethra, the tube that leads from the bladder through the prostate and penis. This will make urinating easier. It is recommended that you take one daily until symptoms settle.
You may eat and drink as soon as you wish after your implant and have visitors. You should avoid heavy lifting or strenuous physical activity for the first two days that you are at home. After that you will probably be ready to return to your normal activity level.
Please read the information leaflet enclosed with any medications, this will explain any side-effects you may experience when taking them. If you are at all concerned about any side-effects you are experiencing please talk to your pharmacist, nurse specialist or GP.

Side-effects of the implant
Immediately after the implant you may experience some of the following:
- mild soreness, bruising and discoloration in the area between your scrotum and anus;
- blood in the urine and semen;
- burning sensations when passing urine.
Urinary problems
A slight trace of blood may be seen in your urine for several hours and sometimes days after the implant. This is quite normal so don’t be alarmed. Drinking plenty of water or squash, about one glass every hour during the day, helps to flush out the bladder and remove any blood clots.
About one week after the implant, the radiation reaction from the seeds begins. This usually makes you want to pass urine more frequently and urgently. Sometimes this may be painful.
After the implant, your urethra can become inflamed causing your urine flow to be slower than normal. Occasionally these symptoms may be severe but can be helped with medication. Please talk to your GP or hospital medical team if you experience these problems.
These side-effects may last for 2-3 months and then gradually ease. Some urinary symptoms may continue for 6-12 months.
Drinking plenty helps to relieve some of the symptoms you could experience after the implant. It can also reduce the risk of urine infection.
Some fruit juices might interfere with the way some medicines work so please discuss this with your doctor or pharmacist before starting to drink cranberry juice.
Tea, coffee and coca-cola contain caffeine, which irritates the bladder and can have an effect on your urine output. It’s advisable to restrict your intake of these until your urine irritation settles. You can have decaffeinated drinks.
If you are passing urine frequently during the night try reducing how much you drink in the few hours before going to bed. Have sips of water if needed during the night. A covered hot water bottle sometimes helps the discomfort when placed over the bladder area.
If you have to wait before urine starts to flow, having a warm bath or placing your penis into a bowl of warm water can help. If you are still having difficulties please discuss this with your specialist team or your GP. They may be able to change your dose of Tamsulosin (Flomax).
You will only be given one month’s supply but you may need Tamsulosin (Flomax®) for three months or more until your symptoms settle. A repeat prescription should be obtained from your GP.
Incontinence
Incontinence is a rare side-effect after an implant. Less than 2% of patients will suffer incontinence unless they have had prostate surgery before the implant. (Reference 1)
Retention of urine
A small percentage of patients 15%, may find they are unable to pass urine (acute urinary retention) and need a catheter (Reference 2). This is a plastic tube inserted through the penis into the bladder to drain away the urine.
If you are feeling a great discomfort in the lower abdomen and only passing a few dribbles, or unable to pass urine at all, you may have urinary retention. You should attend your local casualty department, as a catheter may need to be inserted (size 14g). A letter will be given to you before you go home to hand into casualty if this should occur. If a catheter is necessary it usually needs to stay in for about four weeks before trying without it. Rarely you may need a catheter for 2-3 months or longer to allow things to settle.
Please tell your consultant’s secretary or specialist nurse if urinary retention occurs so support can be arranged for you.
If you need pain relief, an anti-inflammatory medicine such as Ibuprofen is recommended or paracetamol. It is advisable to check with your doctor or pharmacist if these medicines are suitable for you and do not interact with other medicines you are taking. Contact your GP if a stronger painkiller is needed.
Bowel problems
Sometimes you may feel as though you are constipated. This could be the result of the swelling from the prostate. A high fibre diet and extra fluids are encouraged. If you are having these problems please contact your GP who can prescribe a bowel softener (Lactulose or Movicol®).
Occasionally, you may notice an increased desire to open your bowels. This gradually settles.
A rare side-effect is passing a small amount of blood from the rectum. This usually stops on its own. Please see your GP if you experience a burning sensation after opening your bowels. This may mean the rectum has become inflamed (proctitis) and an anti-inflammatory suppository is needed.
Important
Because a small area of the rectum overlying the prostate receives a high dose of radiation we would strongly advise that you do not undergo an anterior rectal biopsy or a trans-rectal prostate biopsy. There is a risk that the area would not heal properly.
If you are to have an investigation of your bowel in the future please contact us or ask your consultant to contact us.
Impotence and fertility
Impotence (inability to achieve satisfactory erections) occurs in 20-30% of patients under the age of 60 and more often for patients over the age of 60 (Reference 3). If this occurs it usually responds well to treatment e.g. Sildenafil® (Viagra) or Tadalafil® (Cialis), Valvenafil (Leutra®). Please speak with your GP. Your specialist doctor will discuss these risks with you.
Most men will be infertile (unable to father children) after treatment. A minority do keep their ability to father children and if your partner is of child-bearing age contraception should be used if you have completed your family.
If you have not completed your family, please discuss sperm banking before your brachytherapy treatment.
All patients are advised to use a condom for the first five ejaculations after the implant.
Risk of further cancer
Radiation treatment can cause a separate cancer in the years after treatment. These cancers most commonly occur in the organs next to the prostate such as the rectum and bladder. The risk is less with I-125 brachytherapy compared to external beam radiotherapy. For each decade following your treatment there is a risk (about 1% or 1 in 100) of developing a second cancer due to radiation (Reference 4). This is more of an issue for younger men.
Radiation information
Radiation Safety
Your implant poses no significant risk to your family and friends. Although the seeds are radioactive, you are not. However, for your and family and friends’ peace of mind, we recommend the following.
For the first two months after your implant do not sit close to (less than 0.5m) children under the age of puberty. You may give them a cuddle or hold them for a few minutes each day, but do not nurse them on your lap. This also applies to anyone you know who may be pregnant. If your partner is pregnant or becomes pregnant then please contact us for further advice. There are no restrictions on travel or physical contact with other adults.
Occasionally you may pass a seed during the first month after your implant.
If you find a seed do not pick it up with your fingers – use a spoon or long handled tweezers and flush it down the toilet.
You are advised to use a condom for the first five ejaculations after the implant. If you are experiencing stinging and burning sensations while passing urine in the first one to two weeks avoid having sex. Your semen may be discoloured as a result of bleeding that may have occurred during the implant. Sometimes ejaculation may be painful but this tends to settle in time. As a result of this treatment over time your ejaculate will be of smaller volume or dry. Condoms should be disposed of by double wrapping and placing in the dustbin.
Your Prostate Implant Card
Why have I been given this information card?
As you have radioactive seeds inside you it is important that you carry an information card with you at all times.

This card holds information about your implant and some contact telephone numbers.
The following people may need to be shown this card:
- Your relatives or next of kin
- GP
- Other health professionals
- Airport or passport control staff
- Funeral directors
We ask you to carry the card with you for three years.
Please use it, for example, to remind your GP or inform a doctor from another hospital should you need hospital care during this three year period. Your next of kin must be told about the card so they can act on your behalf if you become ill or die.
In you die within 20 months of the implant a normal cremation is not allowed because it would cause a radiation hazard. There are also hazards for hospital staff carrying out post-mortems so it is very important that hospital staff and funeral directors are informed. They can then contact the hospital for advice, using the information on the card on the numbers below.
Medical Physics: 0113 206 8813 or 0113 206 8925
Out of office hours ask switchboard to use the
Radiation Protection Callout List
Hospital Switchboard: 0113 243 3144
You may need to show your card when travelling. Many airports, seaports and some underground systems now have radiation detectors following recent terrorist incidents. They are very sensitive and may detect your implant even though the radiation levels are very low.
You can use your card to explain why this has happened. Please feel free to invite an official to telephone Leeds Cancer Centre if needed. It might be useful to keep this information leaflet with you, as well as the card if you are travelling abroad.
The card can be destroyed after three years.
If you need further information about radiation protection, we can arrange for a Medical Physicist to discuss this with you.
Follow-up
After a seed implant you will see your doctor on a regular basis. Your first follow-up is six weeks after the implant. You will usually be seen every six months for the first five years, to check treatment progress. You may have a physical examination and blood tests during these visits.
At your first follow up appointment you will also have a CT scan. These scans allow us to make sure that the quality of our implants remain at a high standard. This scan does not involve a drink or injection. The scan does not monitor the effectiveness of the treatment therefore you will not receive any results.
The effectiveness of the treatment will be assessed using your PSA blood test. This will be checked regularly. The PSA will fall slowly over one to two years and may rise temporarily at times before going down again. The PSA rarely falls to zero.
PSA Bounce or Spike
This is a benign (non-cancerous) rise in the PSA, produced by cells in the prostate gland. This usually occurs in the second year after the implant, although it can occur earlier or later. About one third of men experience this and PSA levels of up to 10 have been reported.
It is not possible to tell the difference between a benign PSA rise and a PSA rise that happens when prostate cancer is active. If the PSA continues to rise for over 12 months or rises three or more times after treatment, this is likely to be due to recurrence of the cancer. If the cancer does recur the most common treatment option is hormone treatment. It is difficult to have surgery or deliver more radiotherapy after I-125 brachytherapy because of the high risk of severe bowel or urinary problems.
Long term outcomes from treatment
Prostate Brachytherapy using I-125 has been available as a treatment for early prostate cancer for nearly 25 years.
Patients do very well after treatment with the majority of men cured of their prostate cancer.
The references below and on the next page are to papers that demonstrate these excellent outcomes in patients treated in Leeds.
AM Henry, B Al-Qaisieh, K Gould, P Bownes, J Smith, B Carey, D Bottomley, D Ash.
Outcomes following Iodine-125 monotherapy for localized prostate cancer: The results of Leeds ten year single centre brachytherapy experience.
Int J Radiat Oncol Biol Phys, Jan 2010; 76(1):50-6.
Ash D, Bottomley D, Al-Qaisieh B, Carey B, Gould K, Henry AM.
A prospective analysis of long-term quality of life after permanent I-125 brachytherapy for localised prostate cancer.
Radiotherapy and Oncology, 2007; 84(2): 135-9.
References
1) Crook J, McLean M, Catton C, et al.
Factors influencing risk of acute urinary retention after
TRUS-guided permanent prostate seed implantation.
Int J Radiat Oncol Biol Phys 2002; 52:453-460
2) Gelblum DY, Potters L, Ashley R et al.
Urinary morbidity following ultrasound-guided transperineal prostate seed implantation.
Int J Radiat Oncol Biol Phy 1999; 45:59-67
3) Gelblum DY, Potters L.
Rectal complications associated with transperineal interstitial brachytherapy for prostate cancer.
Int J Radiat ONcol Biol Phys 2000;48: 119-124.
4) Brenner DJ et al.
Second malignancy in prostate carcinoma patients after radiotherapy compared with surgery.
Cancer (2000) 88(2): pages 398-406
A summary of these papers is available from your brachytherapy team on request.
Drug Information
The information in this leaflet is intended for general guidance. If your doctor has given you different advice, follow their instructions.
Bicalutamide 50mg
Other names
The other name for Bicalutamide is Casodex®
What is Bicalutamide 50 for?
Bicalutamide is being given to you to block the effects of an initial increase in hormone levels with Goserelin.
How should I take Bicalutamide?
The usual dose is one tablet (50mg) once a day. Read the instructions on the label carefully and take the tablets as instructed.
How long will I have to take Bicalutamide for?
Usually only for 3 weeks, starting one week before the Goserelin injection.
What if I forget to take a dose?
If you forget to take your medicine, do not make up for it by taking extra tablets. When you remember, take the next prescribed dose and continue with the treatment.
Are there any side-effects?
Side-effects may include:
- hot flushes
- itching
- dry skin
- tender or enlarged breast tissue
- nausea
- vomiting
- diarrhoea
- abdominal pain
- difficulty sleeping
- drowsiness
- sweating or feeling weak.
Most people, however take Bicalutamide without any problems.
Very rarely Bicalutamide may also cause effects on the liver such as jaundice (yellow skin or eyes), chest pain, palpitations, dizziness, weight gain, shortness of breath, difficulty passing urine or back pain. Consult your doctor if you experience any of these rare effects.
Can I take other medicines?
Yes it is safe to take with most other medication. If you take warfarin, your dose may be affected. Check with your doctor or pharmacist.
Can I drink alcohol?
For most people it is safe to drink alcohol with Bicalutamide. Some people may occasionally feel drowsy when taking Bicalutamide. If this is the case you should avoid alcohol.
Goserelin
Other names
Goserelin is also known as Zoladex®
What is Goserelin for?
To reduce the male sex hormones in the body that encourages the growth of prostate cancer and to reduce the size of the prostate gland.
How will it be administered?
The drug is administered as an injection under the skin every 28 days. It can also be given as a three monthly injection.
Are there any side-effects?
Goserelin may cause:
- hot flushes
- a decrease in libido
- breast swelling and breast tenderness.
In some men Goserelin can cause a temporary rise in male sex hormones which can cause bone pain or some problems passing urine. You will be given tablets to reduce these effects.
Other rare side-effects include:
- skin rashes and allergic reactions
- pain in the joints
- changes in blood pressure.
Contact numbers
Prostate Brachytherapy Team
Monday – Friday 9am – 5pm
Your Clinical Nurse Specialist (Leeds patients only)
Prof Henry
Secretary
0113 206 8986
Dr Bottomley
Secretary
0113 206 8986
Dr Rodda
Secretary
0113 206 7630
Dr Dugdale
Secretary
0113 206 8986
Mr Peter Bownes, Physicist
Medical Physics Secretary
Out of hours – switchboard
Transport enquiries:
Leeds Cancer Centre, Bexley Wing, Beckett Street Leeds LS9 7TF
Useful organisations and contact numbers
Leeds Cancer Support
Research at Leeds Cancer Centre
Leeds Cancer Centre is a major centre for cancer research. You may be asked if you would like to help with some of the clinical studies. You are under no obligation to take part in any trials, and your treatment will not be affected in any way if you do not wish to take part.
If you do take part in a clinical trial, you may meet a research nurse or radiographer who will be helping to run the trial.
Student radiographers
The radiotherapy department is a training centre for therapeutic radiographers of any gender. They are supervised at all times. If you do not wish students to be present, please speak to a member of staff. This will not affect your treatment or care.
Local Support Services
Leeds Cancer Support
Leeds Cancer Support complements care provided by your clinical team. We offer access to information and a wide range of support, in a welcoming environment for you, your family and friends.
We can be found in the information lounges in Bexley Wing and also in the purpose-built Sir Robert Ogden Macmillan Centre (behind the Thackray Medical Museum).
The Sir Robert Ogden Macmillan Centre
This centre offers a variety of free health & wellbeing and supportive therapies for patients, their family members, and carers. These include hypnotherapy, mindfulness coaching, acupuncture (for hot flushes) and pilates.
Live Through This
A cancer support and advocacy charity for the LGBTIQ+ community.
Email: [email protected]
Website: https://livethroughthis.co.uk
Stopping smoking
NHS Free Smoking Helpline: 0300 123 1044 Monday to Friday 9am to 8pm, Saturday and Sunday 11am to 5pm.
Website: www.nhs.uk/smokefree
Maggie’s Centre
If you or someone you love has cancer you may have lots of questions. Maggie’s is a warm, welcoming place where you can meet people who are experiencing similar things to you. You may also be able to find support groups specific to your needs and get advice and information from their professional staff.
You don’t need an appointment and all support is free.
Open Monday to Friday 9.00 am – 5.00pm. Tel: (0113) 457 8364
Address: St James’s Hospital (next to the multi storey car park), Alma Street, Leeds LS9 7BE.
Email: [email protected]
Website: www.maggiescentre.org
Hotel Bexley Wing
The hotel is located on the 8th floor of Bexley wing and offers single and double rooms each with an en-suite, tea and coffee making facilities and digital television. Single rooms with wheel chair access are also available.
Patients are able to stay free of charge. There is a charge for relatives if they are staying in their own room.
For further details please contact the Hotel Co-ordinator on 0113 206 7687. Out of hours please contact the Non-surgical Oncology Nurse Practitioner through main switch board on 0113 243 3144.
Refreshments
There is a restaurant and coffee shop available on Level 0, which are open daily. They serve drinks, light snacks and hot meals. Vending machines are also available in the main radiotherapy waiting room and Level 0. There is also a shop on Level 0 with books, papers and snacks.
Car Parking
Parking for radiotherapy planning and treatment is free.
- On entering the car park take a ticket and park as usual (disabled parking spaces are on Level 0).
- When exiting use the left hand lane next to the ticket office. Take your parking ticket and appointment letter to the attendant.
- They will process your ticket so that when you insert it at the barrier no charge will be made.
- If you need assistance or are unable to leave your car please press the button on the barrier.
Copyright © Prostate Brachytherapy Team and
Medical Illustration Services, 2018
All rights reserved. No part of this publication may be stored in a retrieval system or transmitted in any form or by any means without the prior permission of the copyright owners.
Originally developed by the Prostate Brachytherapy Team at Cookridge Hospital
Dr D. Ash, Consultant Oncologist
Dr D. Bottomley, Consultant Oncologist
Dr B. Carey, Consultant Radiologist
Kathy Gould, Prostate Brachytherapy Specialist Nurse
