This guide is intended to help you to understand the treatment and aftercare from your broken hip and how we can support your recovery and discharge from hospital as quickly and safely as possible.
What is a broken hip (fractured neck of femur)?
Having a broken hip is not uncommon: in the UK, there are about 70,000 cases every year and that number is rising as the population ages.
The bony part of your hip is made up of a ball and socket joint, the ball part is called the head of the femur and the socket is called the Acetabulum.

How is the fracture treated?
Unfortunately there is little option other than an operation (surgical repair) to help you to walk again. The type of surgery you receive will depend on which part of the bone is broken.
If the fracture is below the neck of the femur, the blood supply to the head of the femur should not be affected.
There are two treatment options for this type of fracture:
- A metal plate and screws (known as a Dynamic Hip Screw).

- An Intramedullary (IM) nail.

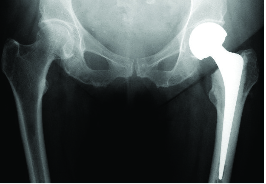
This is a total hip replacement

This is a partial hip replacement

If the fracture is in the neck of the femur, the blood supply to the head of the femur will be compromised, and a partial or total hip replacement will be necessary.
Your surgeon will discuss the treatment option that is best suited to you and the type of fracture you have before you have your operation.
What happens next?
Now that you are on the ward, the most important thing for us is to make sure you are safe, comfortable and as pain free as possible, and to start preparing you for your operation and recovery.
Pain
We will assess your pain level and give you pain controlling medicines, which might be in the form of tablets or liquid to swallow, or a nerve block (an injection close to the nerves in your hip to numb your leg). Whichever pain control method is considered to be most appropriate it is important that you tell us how well it is working. If you still have pain we may be able to add to or change the pain medicine.
An assessment scale is used to measure your pain. The Nurses will ask you to rate your pain on a scale of 0-3:

Who will be looking after you?
Your care team includes:
Anaesthetist
Anaesthetists are specially trained doctors who are responsible for giving your anaesthetic, controlling your pain during your operation and for your wellbeing and safety throughout your surgery.
Orthopaedic Consultant
You will be admitted under the care of a Consultant Orthopaedic surgeon, who will lead the team in organising your surgery. Day-to day care is the responsibility of the ward based team of nurses, doctors, therapists and others.
Ortho-geriatrician
The Ortho-Geriatrician is a doctor who specialises in the care of older people who have suffered a fracture. They will ensure that any other medical conditions you may have such as diabetes or high blood pressure are managed appropriately before surgery and throughout your recovery and rehabilitation from surgery. The ortho-geriatrician will also assess your current bone health and decide on further investigations where appropriate.
They may refer you on to the Fracture Liaison Service at Leeds for specialist bone health assessment and therapy.
Physiotherapist
The Physiotherapist will aim to visit you daily for the first seven days following your surgery. Rehabilitation will be tailored to your individual goals and will be carried out by all members of the multidisciplinary team.
The Physiotherapist will aim to visit you daily for the first seven days following your surgery. Rehabilitation will be tailored to your individual goals and will be carried out by all members of the multidisciplinary team.
Occupational therapist
The Occupational Therapist (OT) will discuss with you how you will manage your normal activities both on the ward and once you return home. This may include getting washed and dressed, getting on or off the toilet, bed and chair, getting in and out of the bath and kitchen activities. If you have any equipment needs, these will be addressed by your OT.
Ward nurses, nursing assistants, clinical support workers
The nursing team will assess your needs and develop your plan of care in discussion with you and your family. This includes pain management, nutrition, hygiene and skin care. They will take care of your safety and wellbeing both before and after your surgery. You, your friends, family or carers should speak to the ward nursing staff if you have any questions or concerns regarding any aspect of your treatment, care or discharge plan.
Trauma co-ordinator
Specialist trauma co-ordinators will ensure that your surgery is scheduled when you are fit and well enough for the procedure.
Discharge co-ordinator and discharge facilitators
The discharge team will liaise with you, the ward team and relevant external agencies to ensure your discharge plan is appropriately and efficiently managed.
On the ward
Ward staff will monitor your pain and ensure you are as comfortable as possible. We will review any treatments that were started in the Emergency Department and continue to prepare you for your surgery.
The surgical team will examine you and discuss the plan for surgery with you and your family.
Eating and drinking before your operation
You will be encouraged to eat and drink normally until shortly before your surgery. It is important that you are well nourished and hydrated as this helps with your recovery. To help with this you may be prescribed supplement drinks to take in addition to your normal diet. The ward nurses will give you instructions about when to stop eating and drinking in preparation for surgery (fast). Usually, you will be instructed to fast from food and milk for six hours and water from two hours before surgery, although this may be longer to accommodate potential changes in theatre scheduling. An intra-venous drip will be started to keep you hydrated. Sometimes, if your surgery is planned for the afternoon, you may have a light breakfast.
Maintaining normal body temperature
Keeping warm before and after your surgery is important, as it may lower the risk of complications after your operation. It is important to tell the ward staff if you feel cold at any time. When you are able to get out of bed after surgery, you should ask your relatives or carers to bring in warm, comfortable clothing and well-fitting appropriate slippers/shoes to wear in the daytime.
You can also keep warm by taking regular warm drinks, and by walking to the toilet when you are able to do so safely.
Going to the toilet
You must remain in bed until after the operation. Male patients can use a urinal to pass urine; female patients will require a bedpan. This can be difficult and painful. Some patients are unable to pass urine. For these patients, a tube (catheter) is inserted into the bladder which allows the urine to drain into a bag. The catheter will be removed as soon as possible after the operation.
Your anaesthetic
Before your operation, the anaesthetist will plan your anaesthetic with you.
There are two main anaesthetic options for hip fracture surgery, a general or a spinal anaesthetic. A general anaesthetic is where you are completely asleep for the operation, whereas a spinal anaesthetic (similar to an epidural) makes you numb from the belly button down. Some people worry about being awake with a spinal anaesthetic, although most people actually find they drift off to sleep once their pain has completely gone.
However, don’t be concerned about being awake, as your anaesthetist will provide sedation if required.
There are advantages and disadvantages with both types of anaesthetic. Whilst your preference will always be taken in to account, the presence of pre-existing health issues will mean that one technique may be safer.
Your anaesthetist will discuss this with you. They will also assess your general health and the anaesthetic most suitable for you, as well as explaining the benefits and risks of the options available.
Glasses, jewellery, dentures
You can wear your glasses, hearing aids and dentures until you are in the anaesthetic room. If you cannot remove your jewellery, it can be covered with tape to prevent damage to it or to your skin. Wedding rings are not removed, and are covered with tape.
Your operation
In the anaesthetic room
When it is time for your surgery you will be taken on your bed, to the anaesthetic room. Several people will be there, including your Anaesthetist and an Anaesthetic Practitioner.
Equipment will be attached to you to measure your:
- Heart rate – three sticky patches on your chest (electrocardiogram or ECG).
- Blood pressure – a cuff on your arm.
- Oxygen level in your blood – a clip on your finger (pulse oximeter).
- A small needle is used to put a thin soft plastic tube (a cannula) into a vein in the back of your hand or arm. Drugs and fluids can be given through this cannula.
- Finally, the type of anaesthetic chosen will be administered.
Your surgery
Once your anaesthetic has been successfully started you will be taken into the operating theatre where your operation will be performed by the surgeon.
If you have a spinal anaesthetic you may be aware of several people moving around the room, this is normal, they are all there to make sure you are safe and that your operation goes well. You may also hear the noises made by some of the equipment used during the operation, again this is perfectly normal.
In the recovery room
Once your operation is over you will be transferred to your bed and taken into the Recovery Room. You will stay in the Recovery Room until you are ready and safe to return to the ward.
Whilst in the Recovery Room the recovery team will make sure that you are as comfortable as possible and manage any pain you might have. They will check your blood pressure, pulse rate and breathing very regularly.
There will be a dressing on your hip wound, and you will likely have an intra-venous drip in place. Sometimes a blood transfusion is necessary if there has been bleeding from your fracture site or if you are anaemic.
If you have had a spinal anaesthetic you may not be aware of the need to pass urine – this is normal, the sensation will come back once the anaesthetic wears off (4-6 hours). Occasionally a urinary catheter is inserted in theatre if you did not have one before surgery; this catheter will be removed as soon as possible after your operation.
Back on the ward
You will be transferred back to the ward when the anaesthetist is confident it is safe for you to do so.
As with any surgical procedure, you can expect to experience some pain. You will continue to receive regular pain killers. Strong analgesics will also be prescribed to support you if you are struggling with pain despite taking the regular medication. It is important to tell your nurse how well the pain killers are working for you.
When you are fully awake, and if you are feeling well, you may have a drink and something light to eat.
The recovery process
The day after your surgery we will expect you, where possible and with the help of the care team, to get out of bed. Getting out of bed and moving quickly after surgery will assist your recovery by helping to prevent complications such as chest infections and blood clots in your legs, and will help you start to feel more normal. Clinical evidence has shown that patients who are active soon after surgery can recover more quickly. We will continue to monitor any pain that you might have and give you pain controlling treatments as appropriate.
You will be encouraged to eat and drink normally. You may find that for the first few days after your operation your appetite might be reduced. A little and often approach to eating (with small meals and snacks in-between) is the best way to get your appetite back. You may be prescribed high energy nutritional supplement drinks to help ensure you are getting adequate nutrition.
It is important that you drink plenty of fluids; this will help reduce the risk of dehydration, constipation, skin damage and infections. All fluids count but try to include those that are nourishing (juice, milk, tea, coffee) rather than plain water.
Constipation
Constipation can be a real problem after surgery, even more so if you were prone to constipation before you had your operation. Some pain killing drugs can cause constipation, but we want you to continue to take pain killers if necessary.
There are several things you can do to help prevent constipation:
- Drink plenty of clear fluids.
- Move around as much as possible, activity really helps keep everything moving.
- Try to eat plenty of fruit and vegetables.
- Choose high fibre options when you can such as bran based cereals or wholemeal bread. If your appetite is not good, natural fruit juice, especially orange juice is naturally high in fibre.
- You will also likely be prescribed regular laxatives and we would encourage you to take these until your bowels are working normally again.
Important
Please inform the nursing staff if you think you are constipated.
Looking after your skin
Long periods of reduced activity can make you more at risk of developing a bed sore (pressure ulcer). The nurses will check your skin regularly and assist you to change your position. You may be given a special pressure-relieving mattress.
We would encourage you to change your position if you can and alert ward staff to any pain or soreness to your elbows, bottom or heels.
Confusion
Confusion (delirium) is quite common in older patient admitted with fractures. It can have a number of causes including pain, medications and painkillers, anaesthesia and surgery, infection, constipation, dehydration and loss of normal routine whilst in hospital. A doctor or specialist nurse will perform memory tests to assess for signs of delirium regularly throughout your admission. They will monitor things such as pain and bowel charts to help to identify any problems that could be causing delirium and support getting you back to normal.
Delirium is more likely if you already have some issues with your memory, so we will monitor you even more closely if this is the case. Delirium is often fluctuating – so you may have good and bad periods, this is normal. It can last several days into weeks, but will slowly improve.
Preventing a fall in hospital
As part of your rehabilitation, the ward staff and physiotherapist will assess how well you are able to stand and walk, and you will be given an appropriate walking aid, if necessary.
They will show you the safest and most appropriate way for you to get in and out of bed, and move to chair or toilet.
To reduce your risk of a fall in hospital, it is important to wear the non-slip socks provided or appropriate footwear at all times when not in bed. If you are unsure if you are safe to move or walk independently, you must wait and use your call bell to ask the ward staff for assistance.
Care of your surgical wound
Stitches
In most cases, the surgical wound is closed using dissolvable stitches. These are pale in colour, do not need to be removed and usually disappear after a few weeks. Occasionally, small metal clips or dark coloured stitches are used. These will need to be removed, usually 12 days after the operation. If you are discharged from hospital before this time, the ward will inform your GP and arrangements will be made for you to either attend your GP surgery if you are able, or for a District Nurse to remove the stitches or clips at home.
Surgical wound dressing
The wound will be covered by a surgical dressing that should remain in place for 14 days following your surgery, unless there are stitches or clips that need to be removed. The dressing is waterproof, so you may shower if you wish. At home, a bath is not advisable until the wound is fully healed. At 14 days, the dressing can be removed. The wound should be healed, and there is no need to replace the dressing. If you are already discharged home, you can do this yourself if you are able, or the ward can arrange for the District Nurse to visit you at home.
Wound infection
Surgical wound infections are uncommon:
Only a small percentage of patients who have surgery for a broken hip will develop an infection. A surgical wound infection can develop at any time from two to three days after surgery until the wound has healed (usually two to three weeks after the operation). Very occasionally, an infection can occur several months after an operation.
Signs of infection
Some redness and swelling are to be expected after surgery; however you may have an infection if you develop one or more of the following symptoms:
- New excessive swelling and pain around your hip (not relieved by rest and pain killers).
- Your wound looks increasingly red, or it feels hot.
- Your wound has a green or yellow coloured discharge (pus) or starts to bleed.
- You feel generally unwell or feverish, or you have a temperature.
On the ward, the nurses and doctors will monitor the wound regularly for signs of infection. After discharge from hospital, if you develop any of the above signs of infection, you must contact your GP without delay.
Out of hours, attend your nearest walk-in centre or A&E Deparment. If the wound is infected it is important that treatment is started as soon as possible.
If the edges of the wound separate, and the wound is open, cover the wound with a suitable dressing if you have one available and attend A&E without delay.
Your rehabilitation
Our aim is to maximise your progression post-surgery. Therefore, it is important that you take an active part in your rehabilitation. You will be assessed with your daily activities such as feeding yourself, washing, dressing and using the toilet. The ward nurses will help you and your Occupational Therapist will work with you to make sure you can carry out all of these tasks safely and as independently as possible before you are discharged. It is helpful if your friends, family or carers are able to bring to the ward some loose, comfortable clothing and well-fitting slippers or shoes for you to wear in the daytime.
Exercises following surgery
The number of repetitions for each exercise is provided here. However, it is important to let pain be your guide and only do as much as you are comfortable with. The physiotherapist will provide continued guidance on the ward.
Aim to do the exercises three times a day.
Complete each exercise with your injured leg
1. Ankle Stretch
Pull your toes towards sky then point your toes downwards. Return and repeat x10 times.


2. Straightening Knee
Lie down with your legs straight. Tighten the muscles on the front of your thighs by trying to push your knee downward. Hold the position for 5 seconds then relax
Repeat x5 times.


Straightening Knee exercise images are published with permission of Wibbi 1996-2024. All rights reserved.
3. Knee Bend
Lie on your back with your legs straight. Slide your heel back on the bed towards your buttock to bend the knee as far as you can.
Lower your leg slowly and repeat x5 times.


4. Hip Slide
Lie on your back with your legs straight. Slide your leg out to the side as far as you can, while keeping your knee straight. Do not turn your knee. Return your leg to its original position.
Repeat x5 times.


5. Knee Extension
Sit down on a chair with your back straight. Fully straighten one knee then lower and repeat x5 times.


Important
Also remember to take regular deep breaths and have a cough to reduce the risk of getting a chest infection.
Staying safe at home
There are two main ways of staying safe at home, changes that can be made to your body and changes that can be made to your home.
- Eating healthy and exercising are both great ways of reducing your risk of falling and you can always ask for any extra advice from the professionals on the ward about other changes that could be made to “your body”.
- Changes to your home can be done with ease with help from friends and family when addressing the below factors. The occupational therapists can advise you further on these types of changes.
“Your Body”
- A loss of muscle strength
- A change in mental state
- Blood pressure or hypotension
- Obesity
- Osteoporosis
- History of falls
- Age
- Medication
- Immobility
- Poor nutrition
- Impaired vision
- Impaired balance
- Incontinence
- Mood
“Your Home”
- Poor lighting
- Slippery floors
- Cluttered floors
- Not using walking aids when advised to by physiotherapist
- Footwear
- Height of furniture
- Type of floor surface
I am ready to move on with my mobility
When do I know when I should progress?
This is recommended to people walking with two elbow crutches or walking sticks. While waiting for your next appointment or for the neighbourhood team to continue physiotherapy at home, you may feel as though you are progressing well independently and feel too good for the current piece of equipment you are using.
You can test this by using one crutch or walking stick while walking next to a kitchen worktop to assess your own balance or trying to walk while holding one of your crutches or walking sticks slightly above the ground.
How should I progress with my mobility?
Start by completing small distances within your home with your new piece of equipment (or lack of) to allow you to feel more confident with it. Gradually build this distance up until you feel confident with your new piece of kit!
Do not be disheartened if progression does not happen overnight, it may take some time and the community physiotherapy teams can help progress you by giving you specific exercises to strengthen certain areas of your body.
Preparing to return home
After surgery, it is important to start planning your discharge; the ward team will discuss your progress and the most appropriate plan with you and your relatives and carers. Our long term aim is to for you to return to your original place of residence as long as it is safe and in your best interests to do so.
The ward team will discuss the safest option with you:
- Discharge home with physiotherapy in an outpatient setting. To be considered for this option, you must not have any additional care needs and be able to independently attend the clinic.
- Discharge home with the support of the Neighbourhood Team (NHT): the NHT will provide continuing physiotherapy rehabilitation and assistance with care needs should you require this on-going support. To be considered for discharge home with NHT you must be able to get in and out of bed safely, and be safe between visits.
- Discharge to a Community Care Bed (CCB): the CCB service provides rehabilitation for patients who are well enough to be discharged, but are not yet safe to go directly home. CCB beds can be in designated Residential Homes, purpose built units, or in one of several ward areas at St James’s Hospital.
- Patients who are not able to progress with rehabilitation will be considered for permanent placement in a Residential or Nursing Home.
You will receive a Discharge Folder containing the relevant information to take with you when you leave the ward.
If you have any questions or concerns about your treatment and care, please do not hesitate to discuss them with your ward nurse, ward doctor, therapist or consultant.