Dear Parent/Guardian,
Your child has sustained a break (fracture) to the ankle, confirmed on X-ray during your visit to hospital.
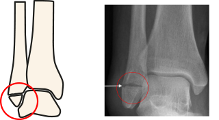
A Weber A fracture is an injury to the fibula, a bone on the outside of the lower leg forming part of the ankle. It is a stable injury commonly occurring when the sole of the foot turns inwards, causing the ligaments on the outside of your ankle to stretch.

The X-rays reviewed by your doctor today confirm that your child has sustained a Weber A fracture.
This fracture will heal well in around 3-4 weeks. Your child will have a walker boot fitted in the department and should wear this for four weeks. They can put weight through the foot/leg as comfort allows.

From four weeks your child can start to wean the boot. Initially we’d advise to stop wearing it at home but continue to wear it at school. After a few days, your child can stop wearing the boot entirely and wear their own comfortable shoes.
Initial Treatment
Initially, your child will have some pain, tenderness, swelling and bruising. This will gradually settle over a few weeks. Simple measures such as rest, elevating the leg, and applying ice packs can help with the pain and swelling in the first few days. Your child may also need simple painkillers such as Paracetamol (Calpol) or Ibuprofen for the first few days. These can be bought at your local pharmacy or supermarket (follow the dosage instructions).
Your child can go back to nursery/school as soon as they feel comfortable and happy to do so.
Ongoing Management
Gentle movement and a little body weight can be taken on the injured ankle. This helps the injury to heal better than keeping it completely still. Moving the ankle gently, even if it causes a little discomfort, will not cause not more damage.
Once the swelling has improved (this is typically after around 3-5 days), try to improve movement in the ankle by flexing it up and down. You can also try tracing circles with the big toe in the air. Try to do these every few hours initially, wearing the boot in between exercises.
You can then move on to improving balance and strength in the ankle. First, by standing on one leg (on the injured side) supported either by a parent or by holding onto something, then by gradually increasing the amount of weight put through the injured side. Then when the ankle is feeling stronger, start walking up and down stairs.
It is important to walk ‘normally’ on the injured side as this aids in the healing process. This means striking the heel to the floor first, rocking forward onto your foot then pushing off with your toes.
Your child does not need a further X-ray or follow-up appointment and can be discharged back to the care of your family doctor.
Return to Sport
Your child can return to sport when there is full strength in the ankle. This usually takes around 6-8 weeks but can vary depending on the above rehab. Sport and physical activities should be avoided for the first 4-6 weeks, this includes physical education classes at school.
You can test how strong the ankle is by asking your child to hop on the affected leg.
Before returning to competitive sport, you may wish to consult with a physiotherapist or doctor who specialises in sports-related injuries.
Most children are back to normal play and sport at three months after the injury.
When to seek urgent help
If your child develops severe pain, change in colour of the foot or toes (white or blue), numbness or pins and needles, or inability to move the foot, it may mean the boot is too tight. If any of these signs occur, loosen the straps on the boot and rest and elevate the limb for 30 minutes. If the symptoms persist despite 30 minutes of rest and elevation, take your child back to the emergency department for an urgent review.
Contact us below if your child is struggling to mobilise out of the walker boot, or is struggling to return to sport 12 weeks after the injury.
Useful contact numbers
If you have any questions or concerns, please contact: